SEE OUR SMILE RESULTS
It's said a picture is worth a 1,000 words...

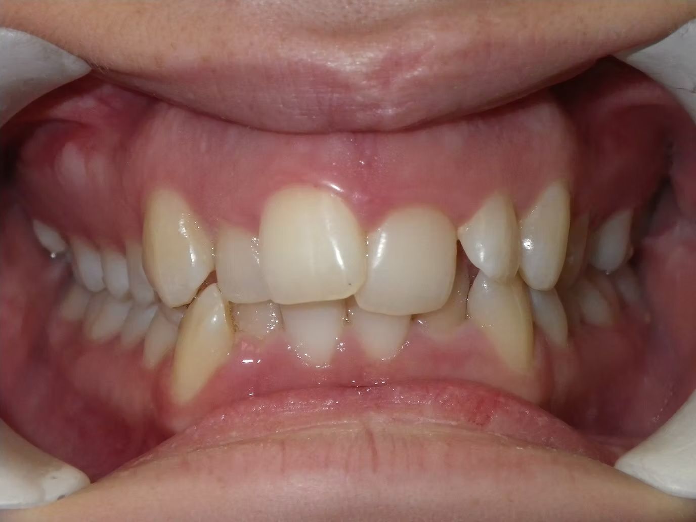
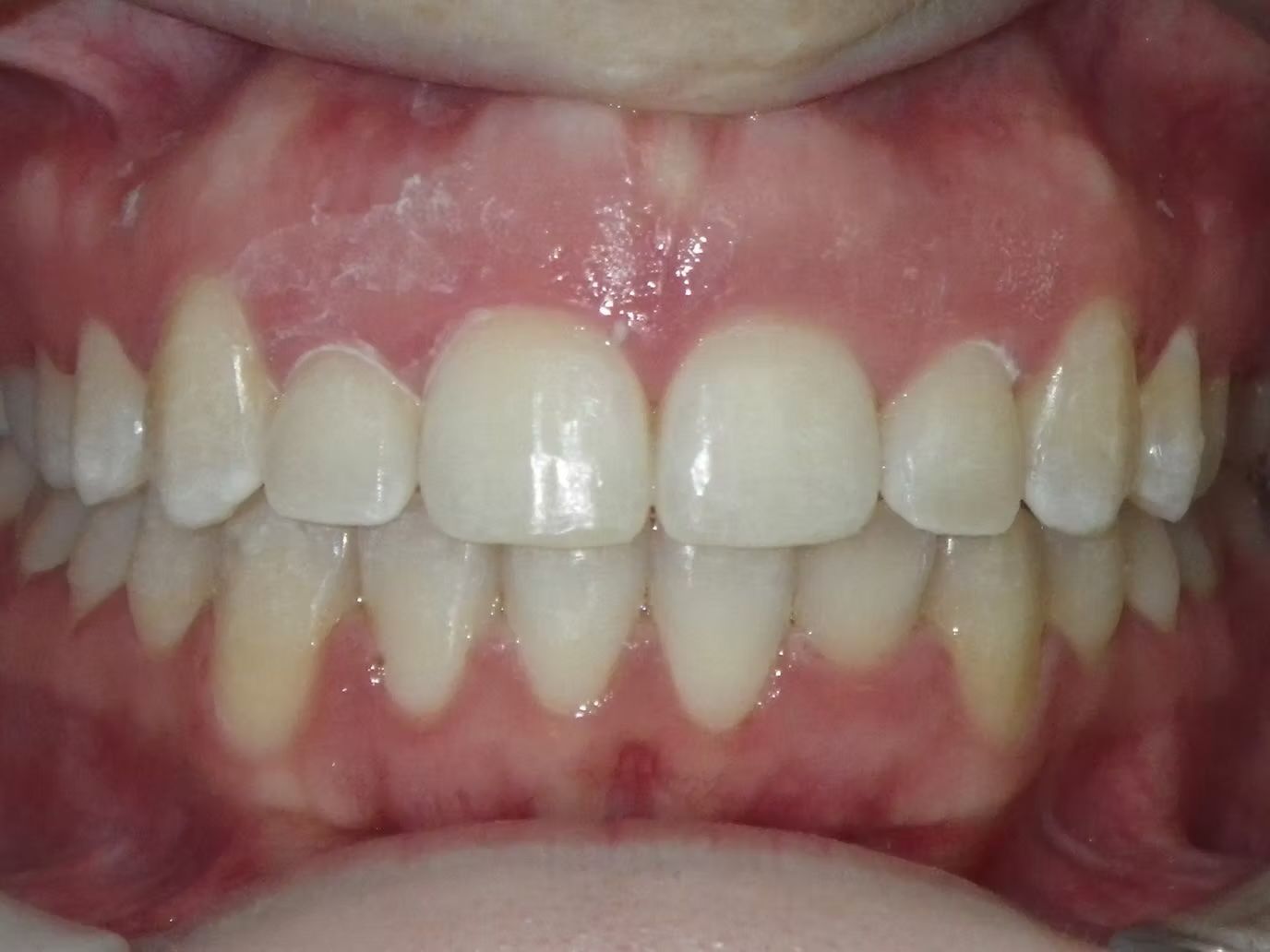
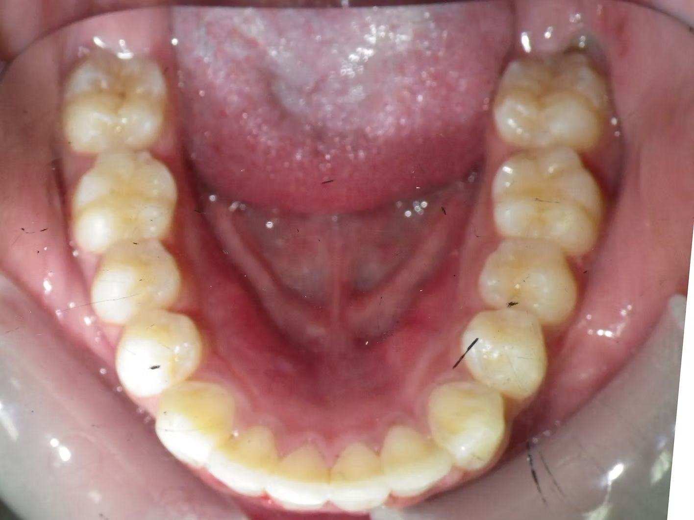
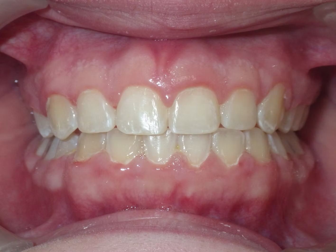
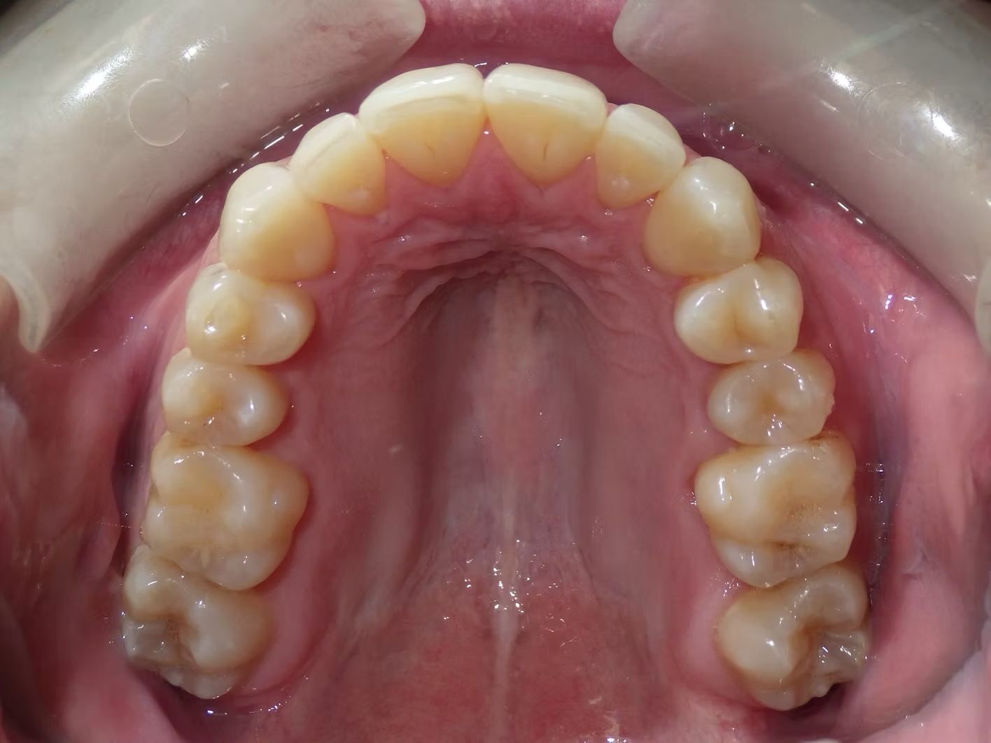
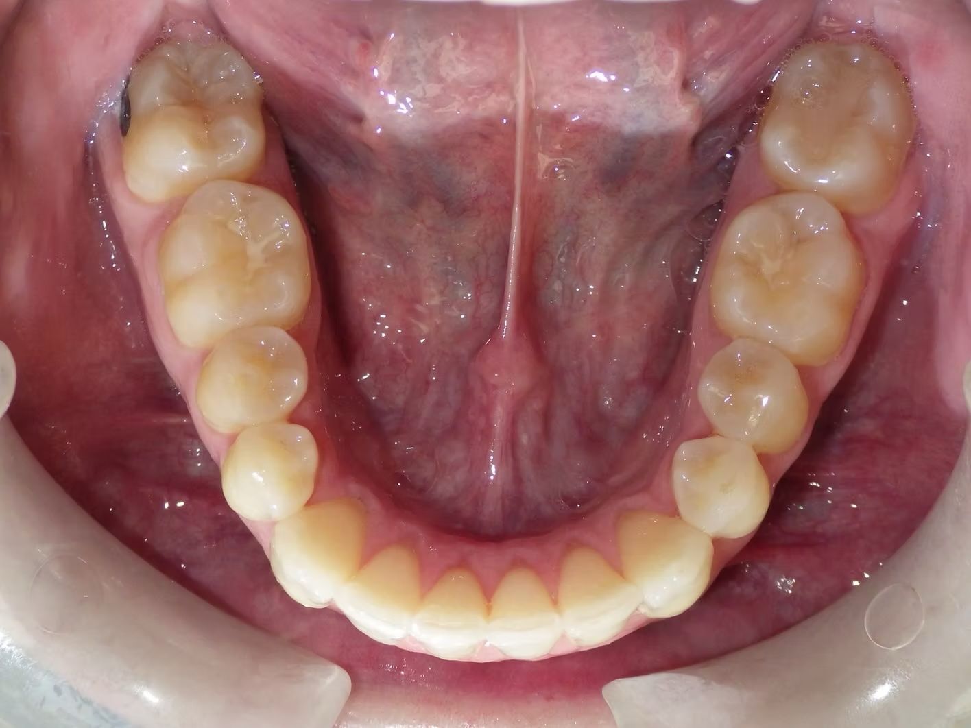
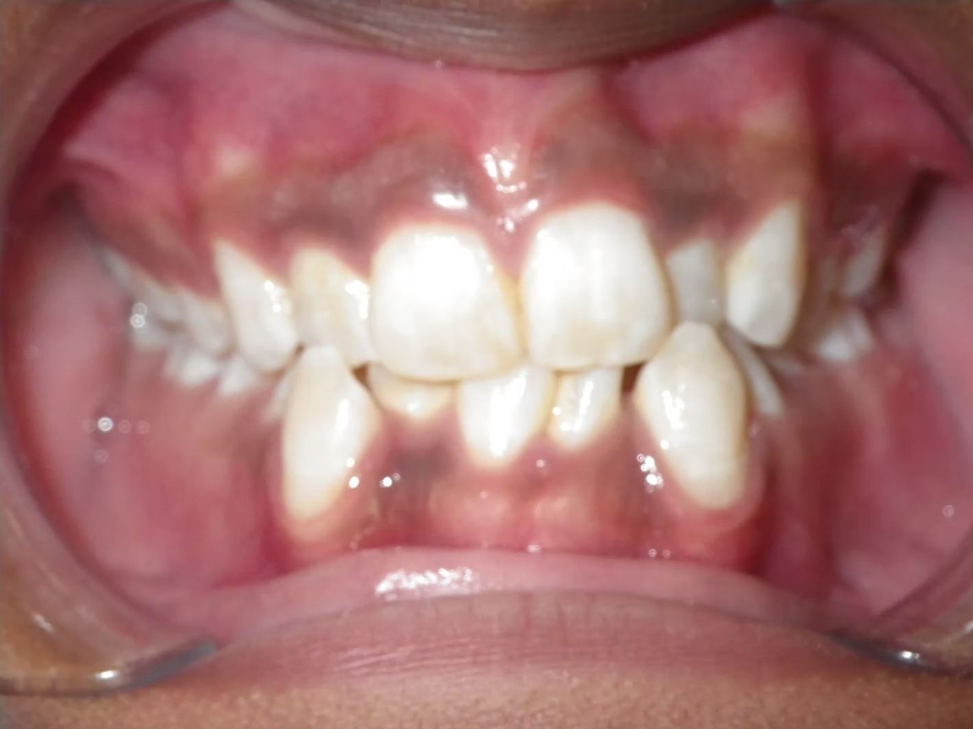
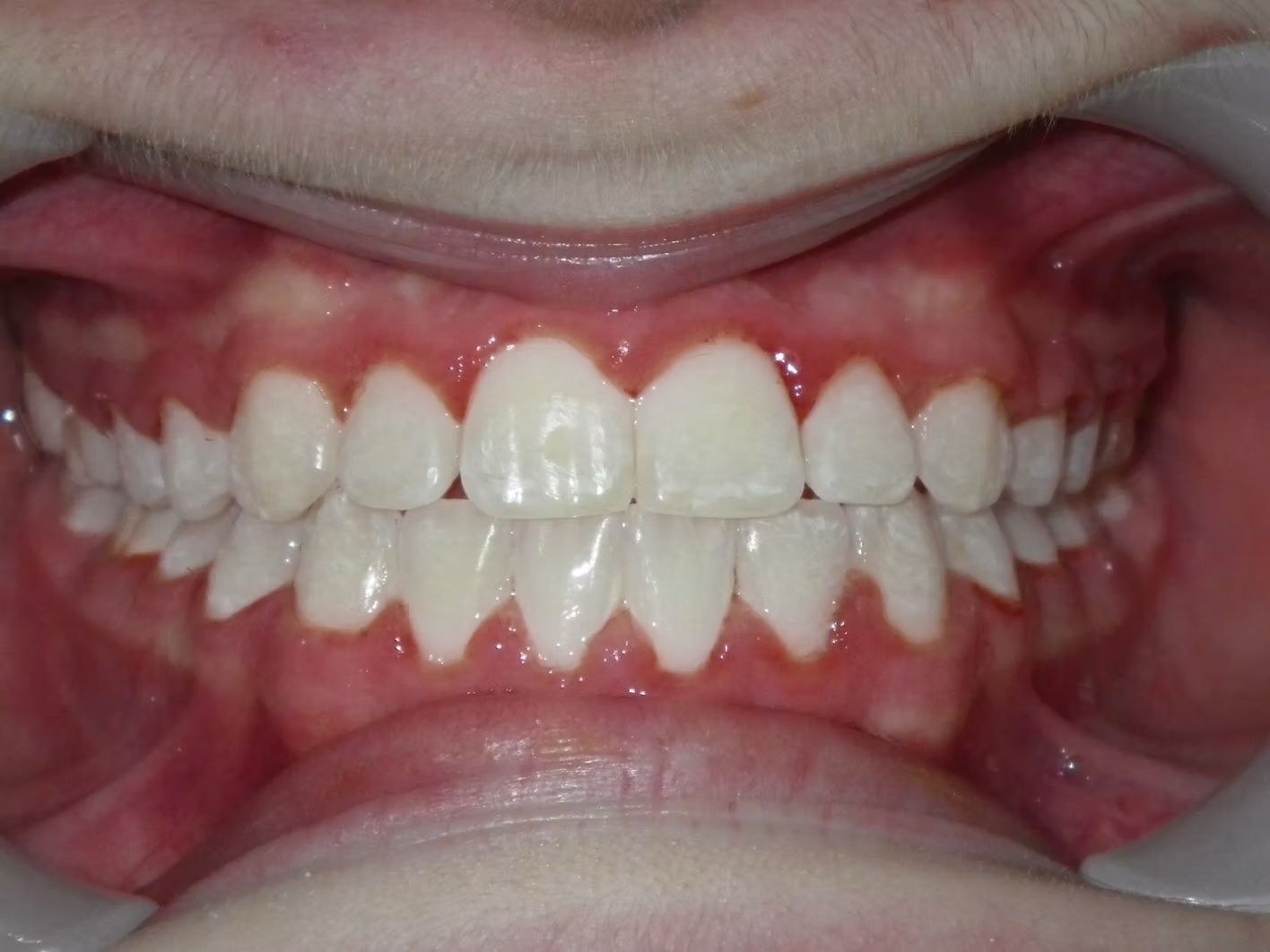
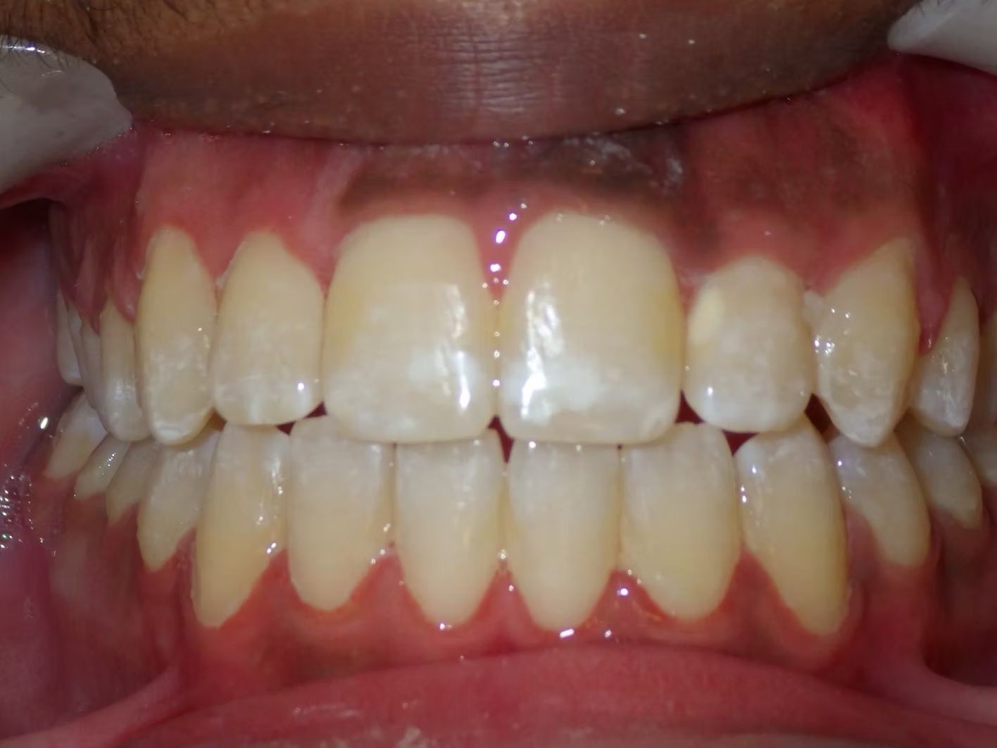
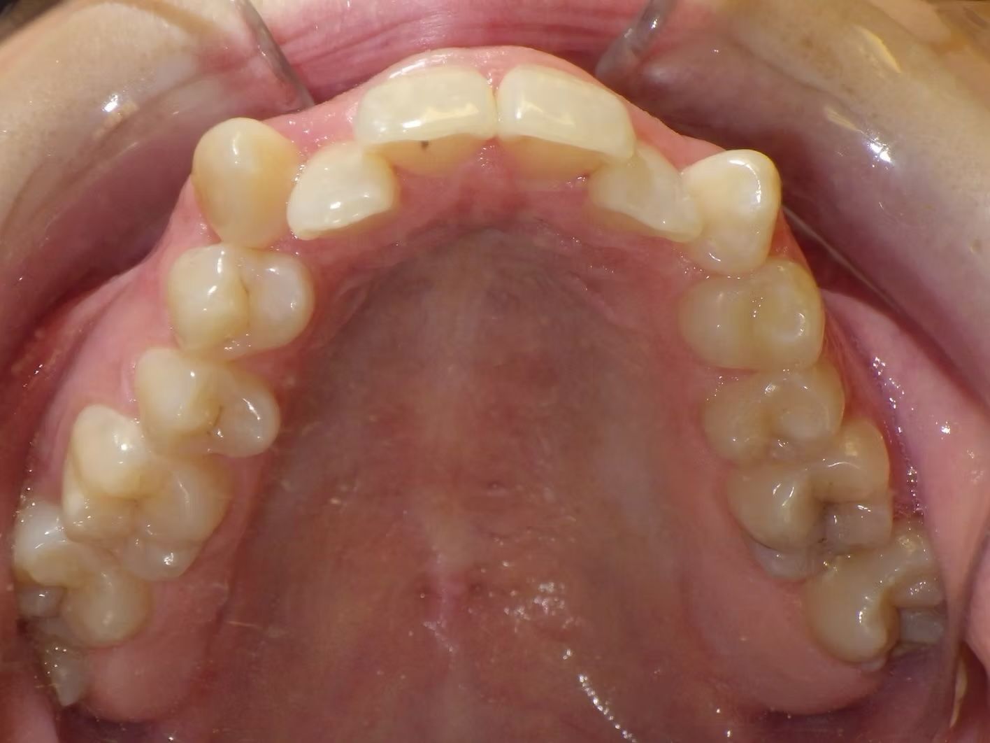
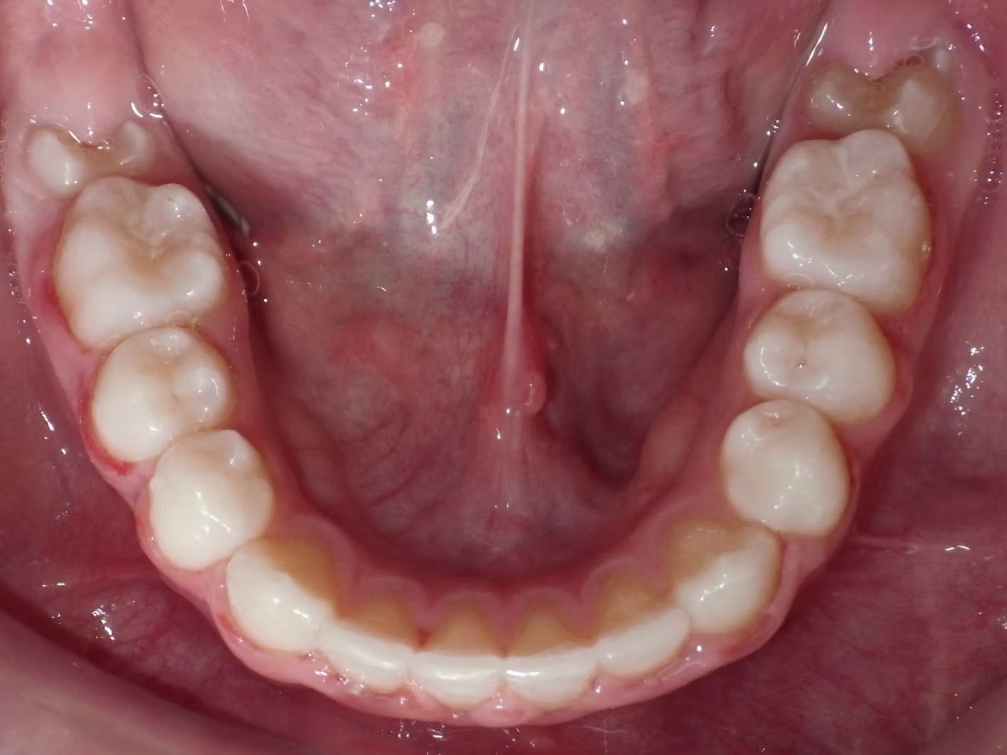
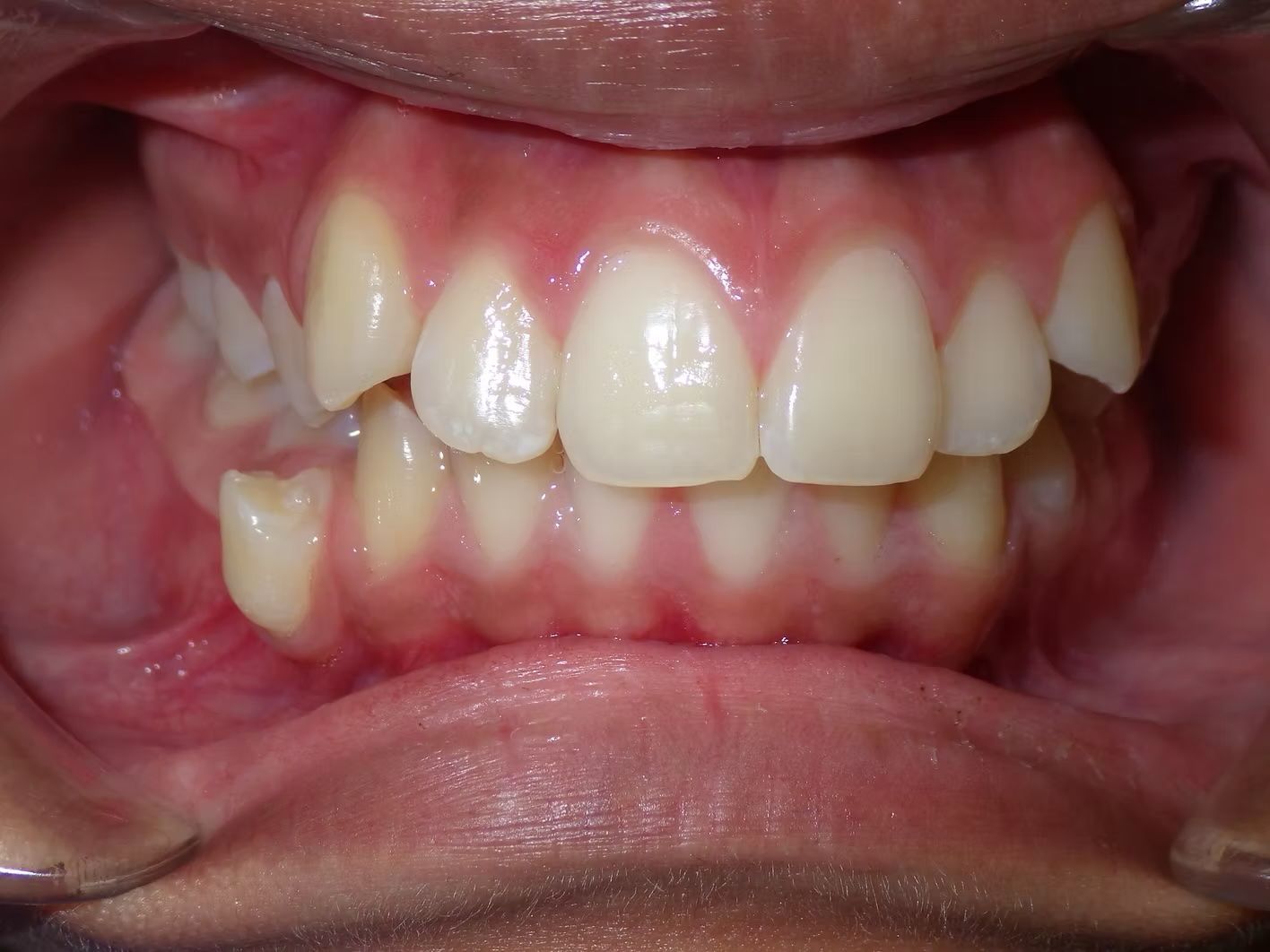
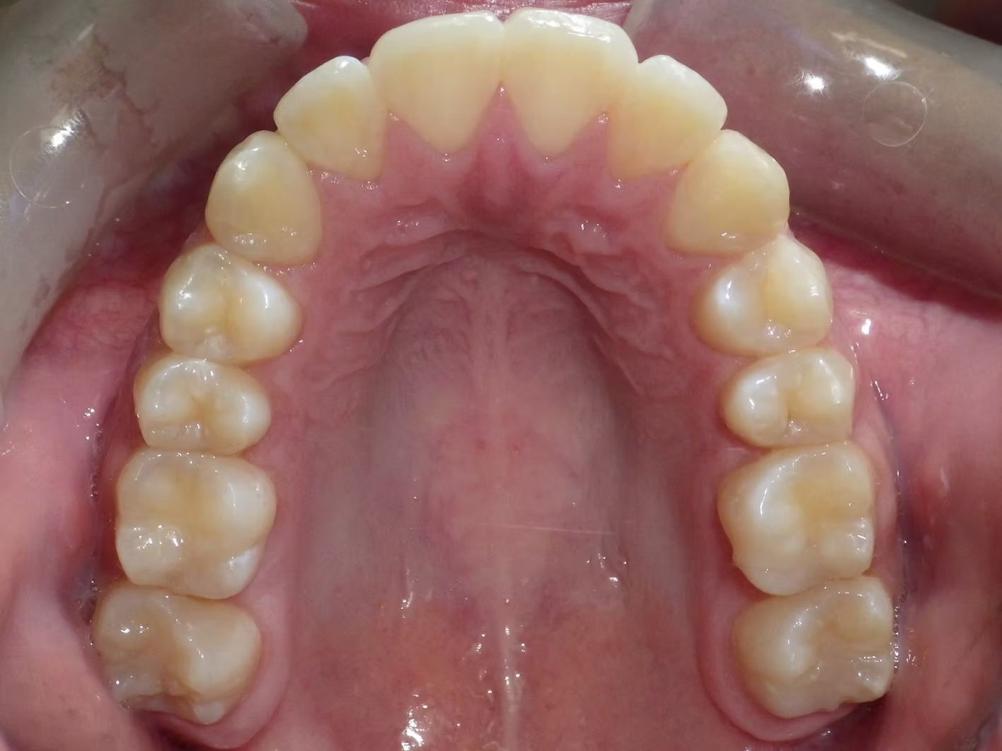
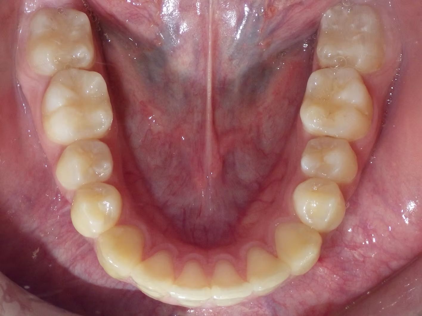
AMBER
Amber, began treatment with Dr. Bret because she didn't like that her front teeth overlapped each other. She had narrow top and bottom dental arches with severe crowding of her upper and lower teeth. She was treated with braces on the upper and lower teeth, and we used the braces to widen the smile. What a change!
Click on the images below to enlarge them.

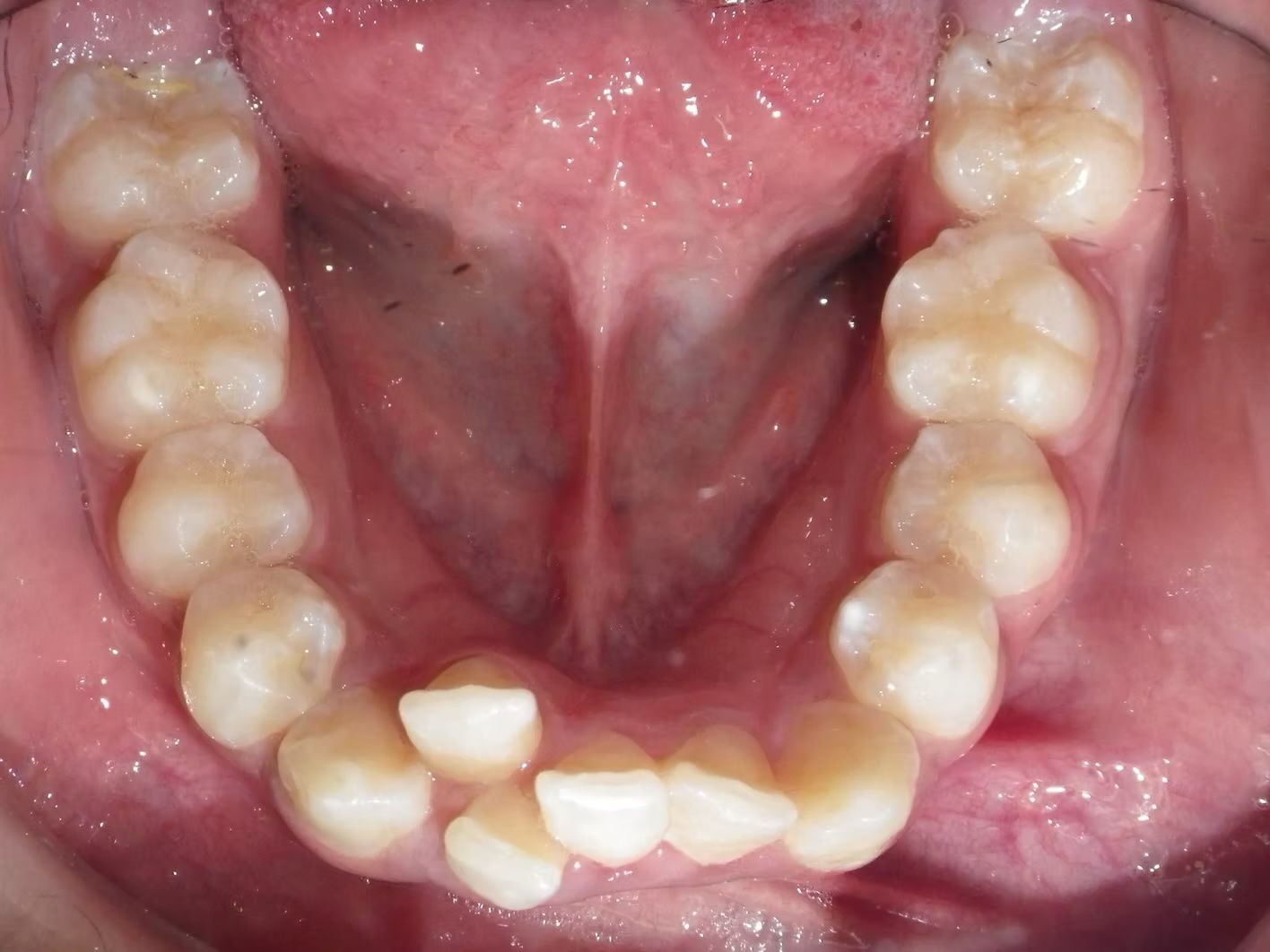
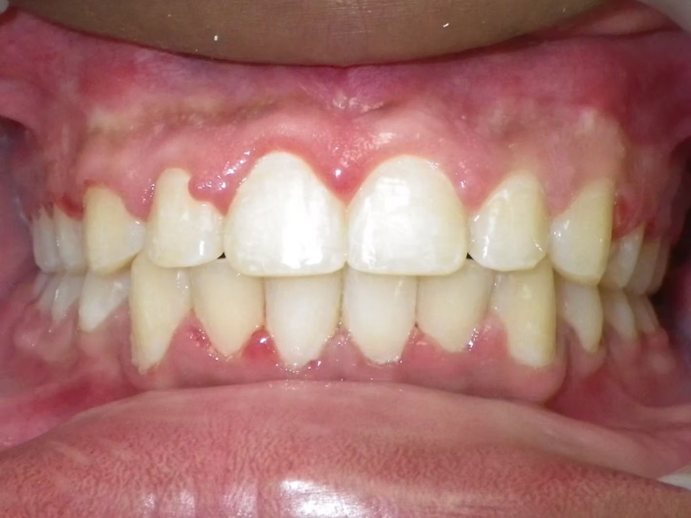
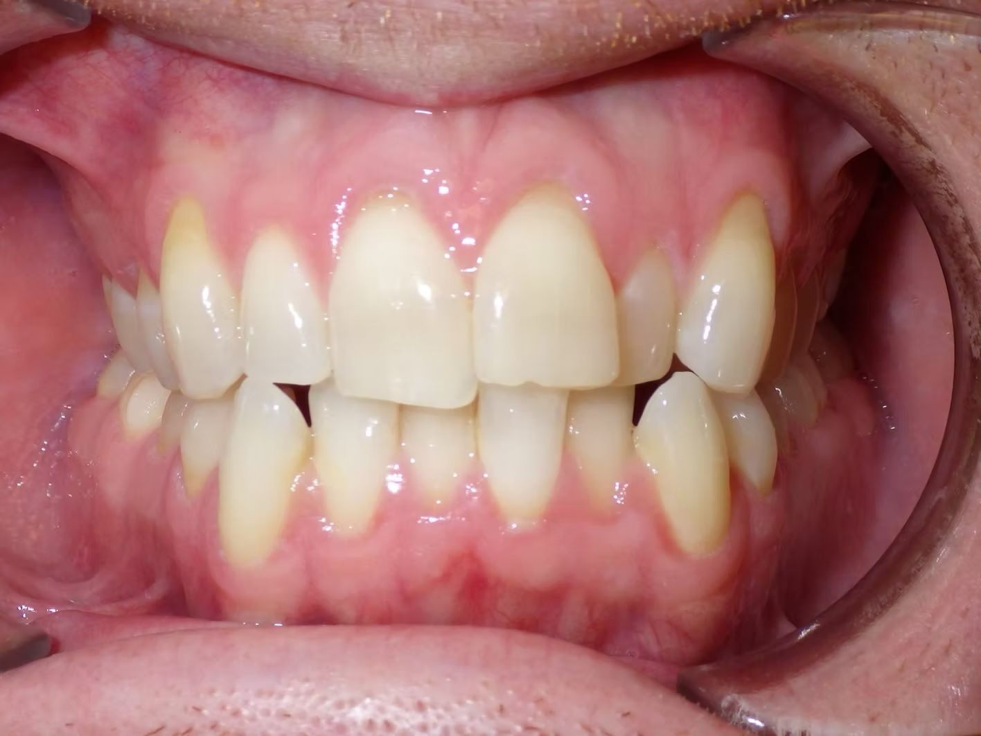
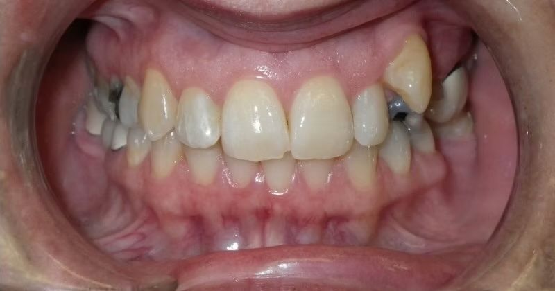
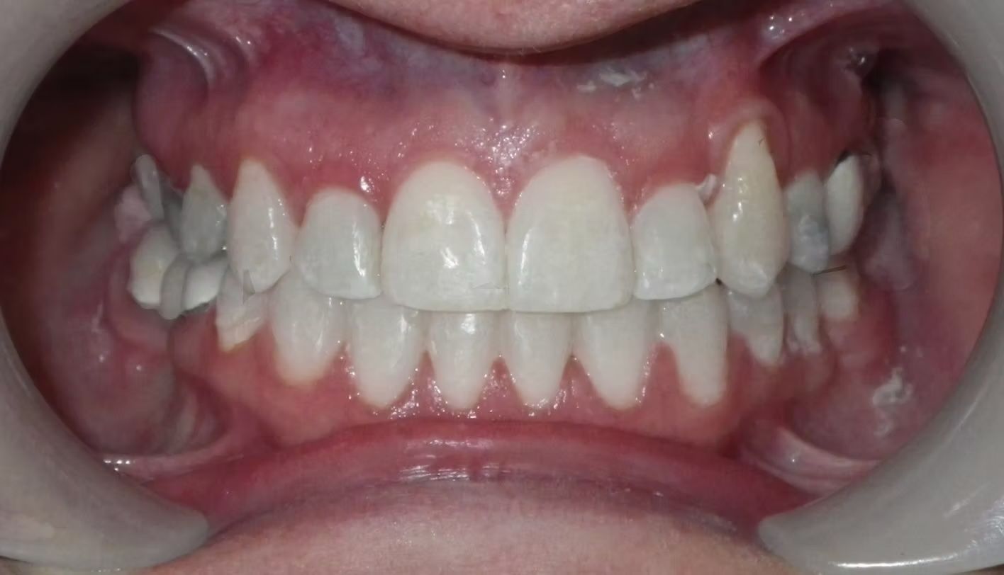
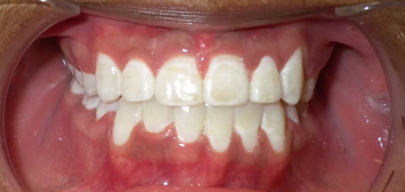
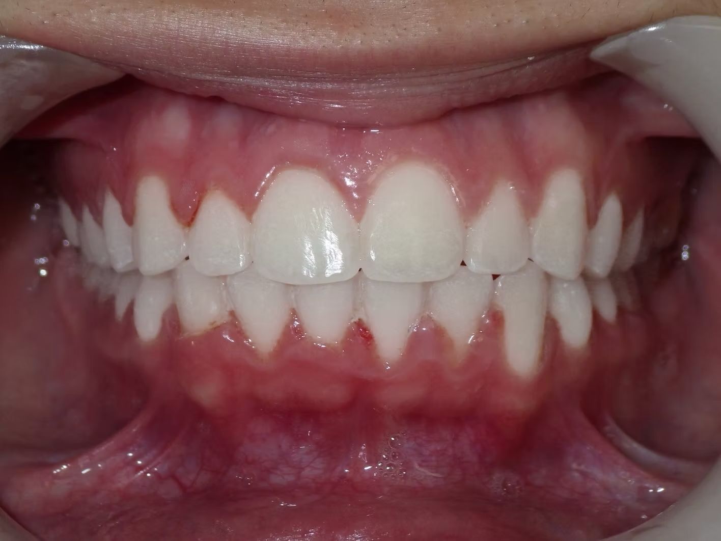
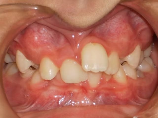
Johntavious
Johntavious didn't like that one of his lower teeth was set behind the rest. He went to many orthodontists who told him to extract the tooth or multiple teeth to correct the alignment. Johntavious and his parents didn't want to go that route and wanted to try to align the teeth without the extraction. Dr. Bret was able to successfully straighten the upper and lower teeth - fit the tooth that was back into the dental arch and make Johntavious and his parents really happy.
Click on the images below to enlarge them.

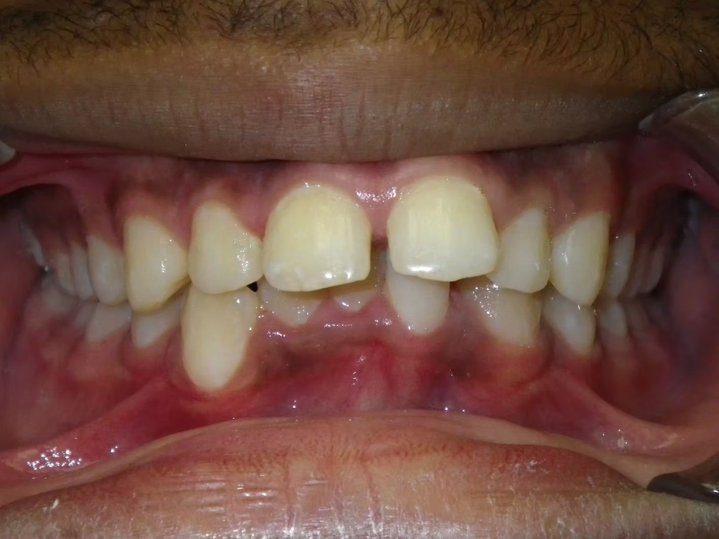
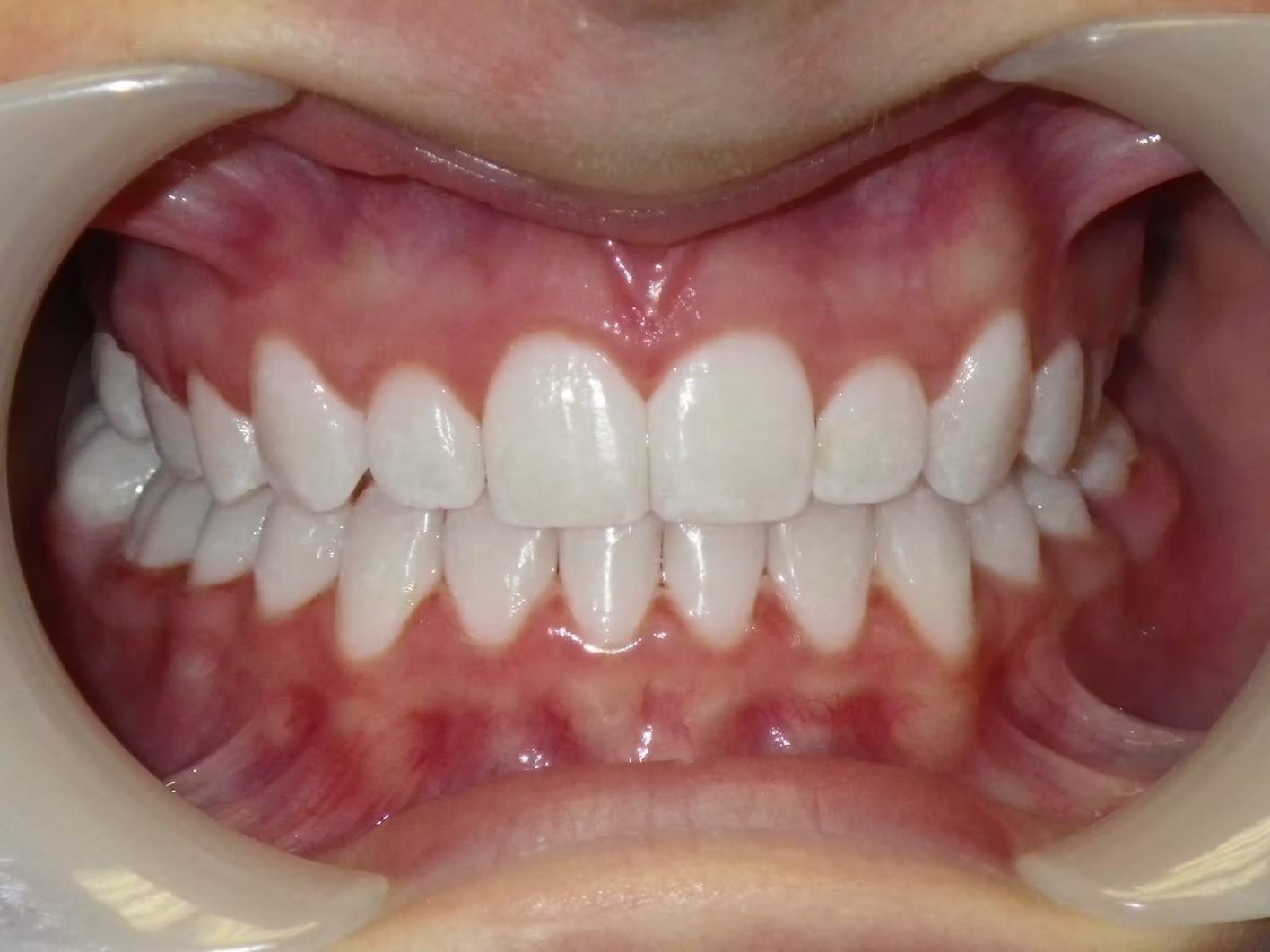
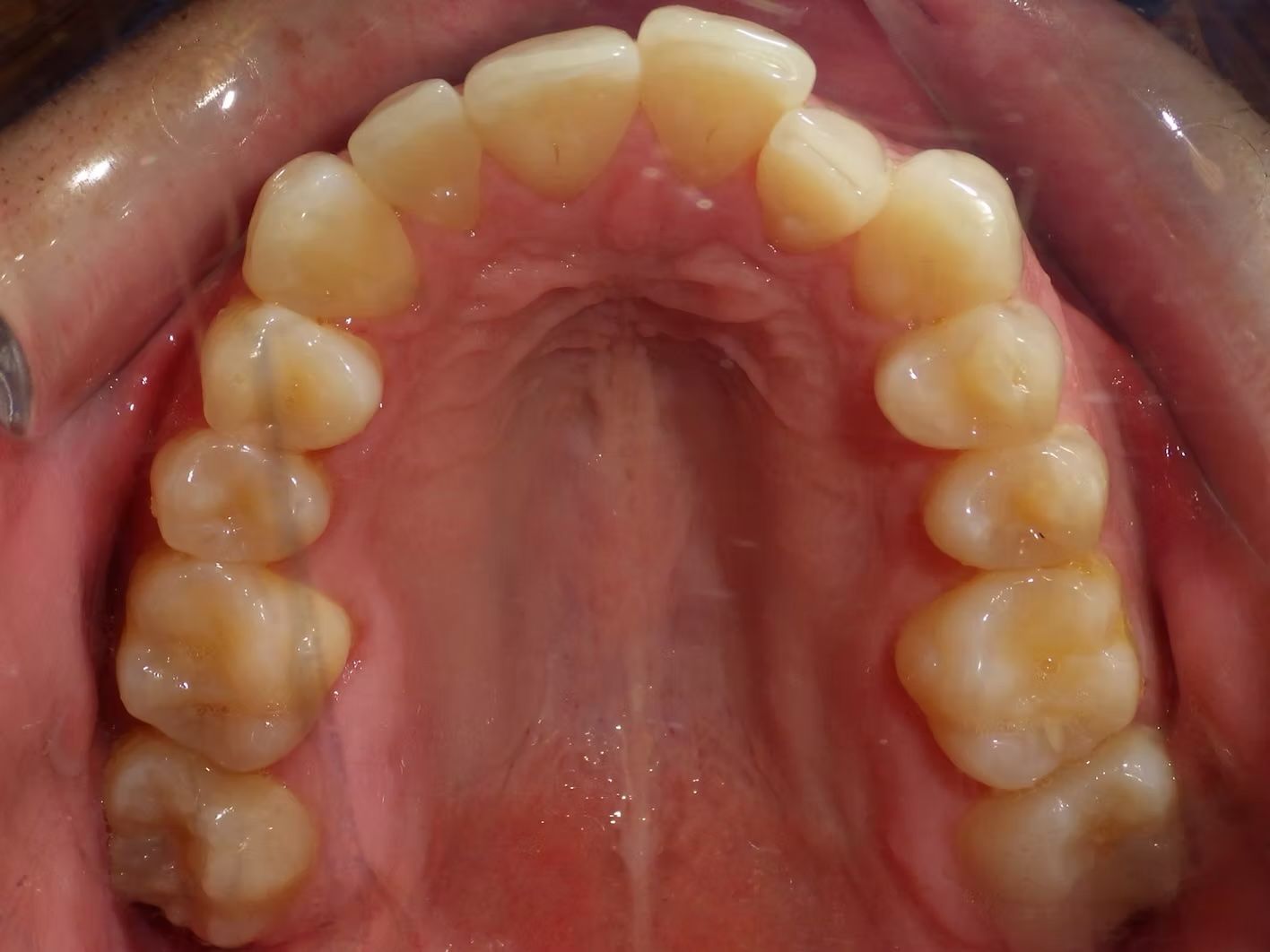
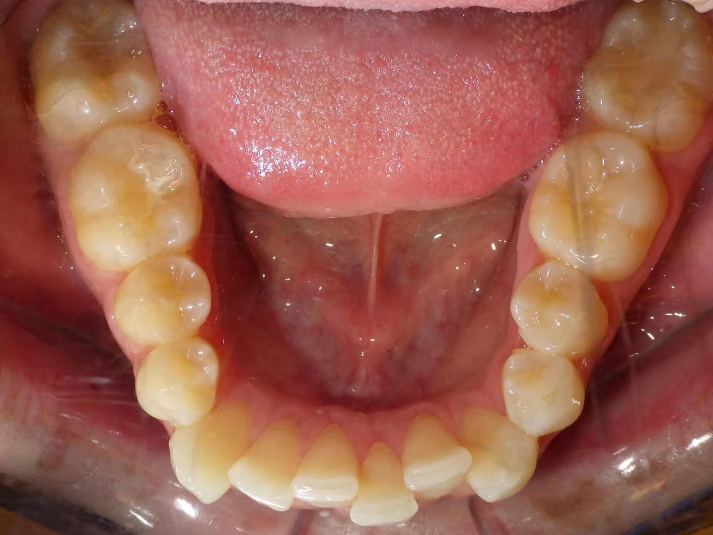
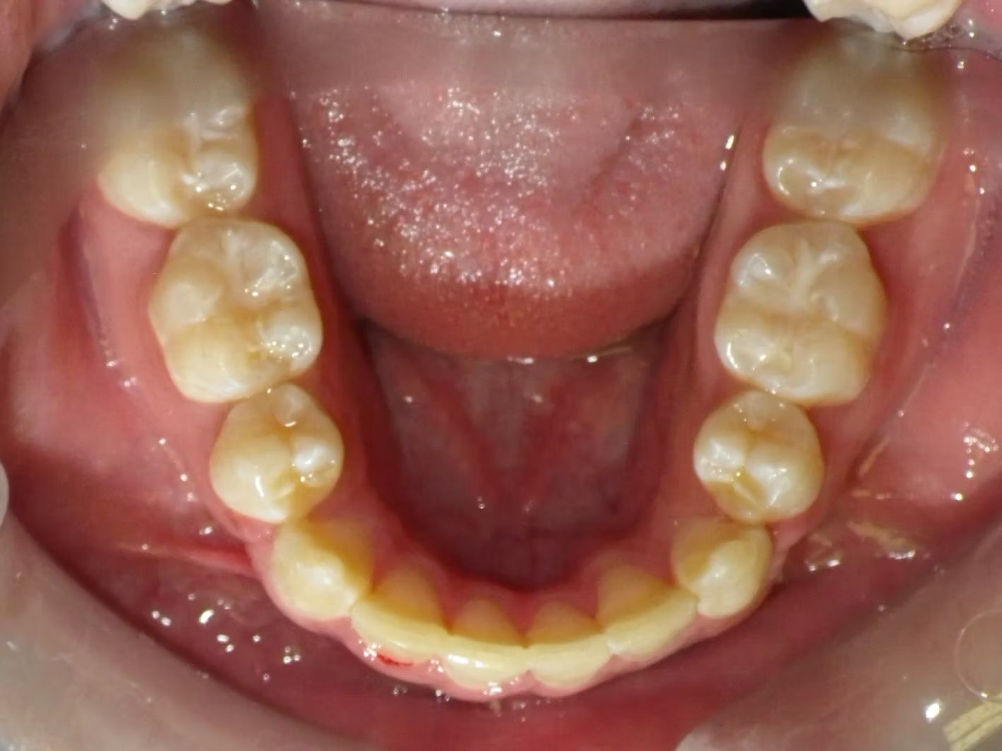
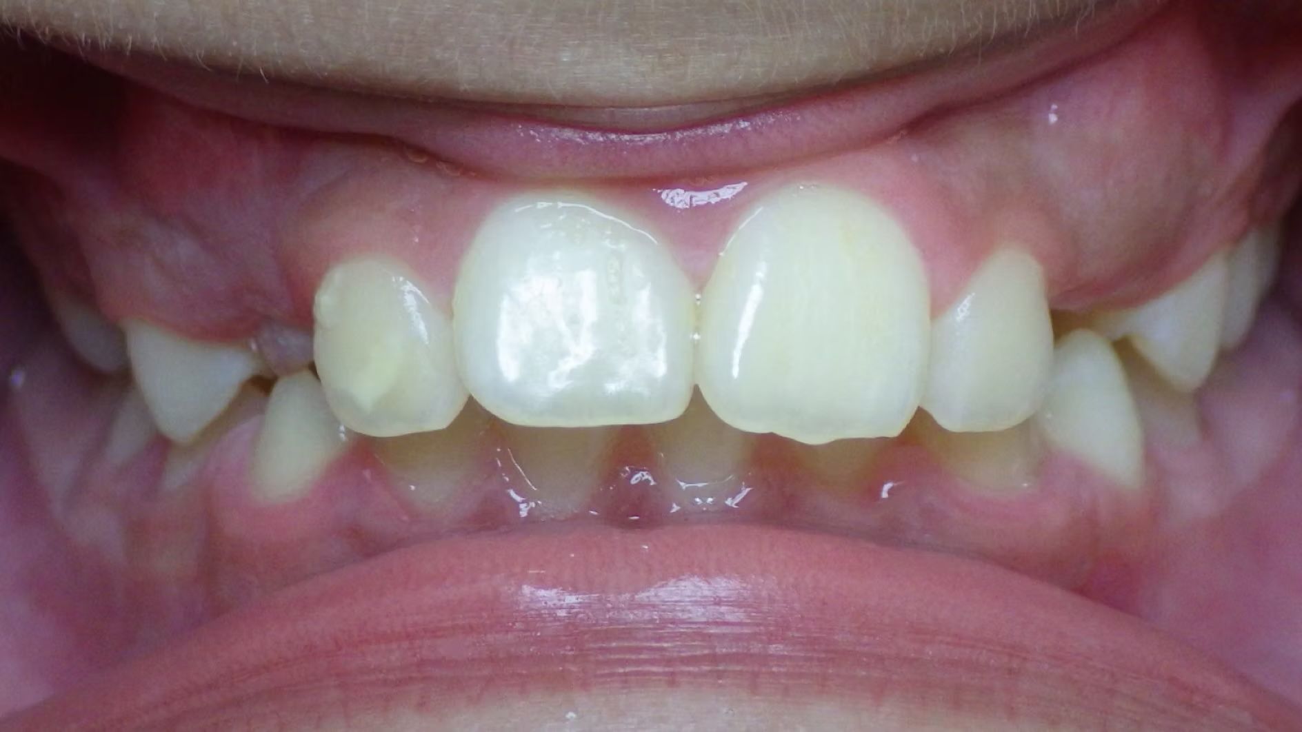
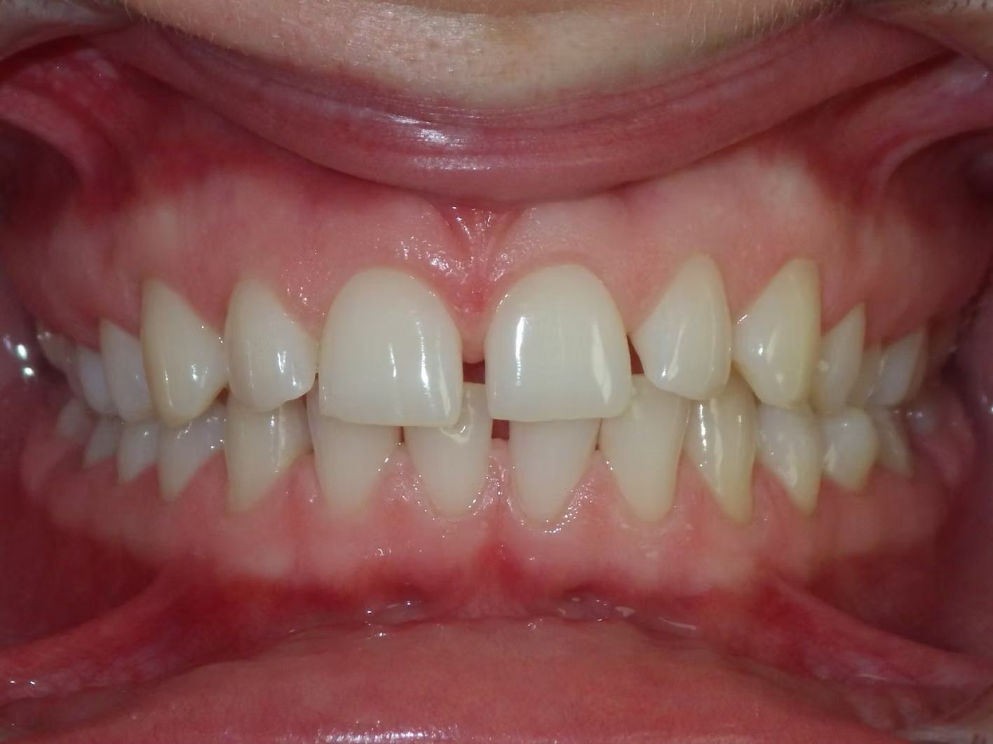
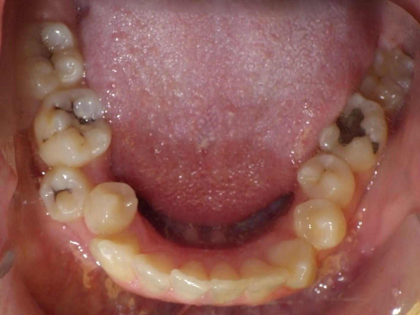
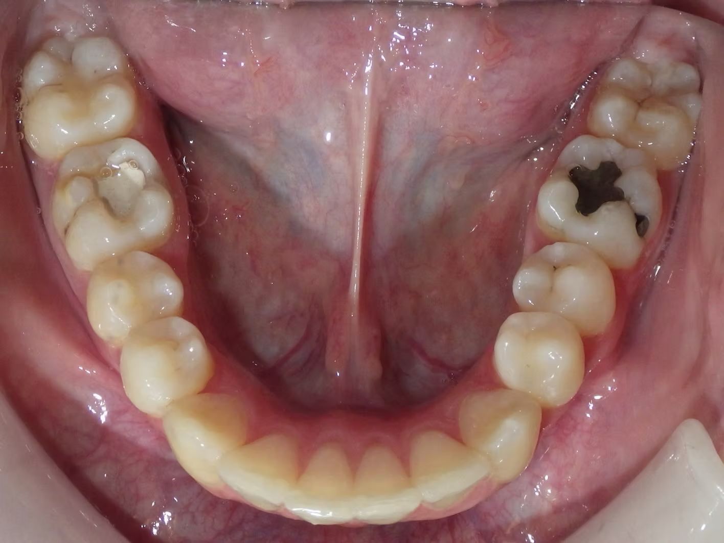
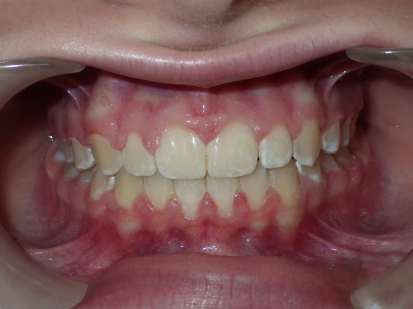
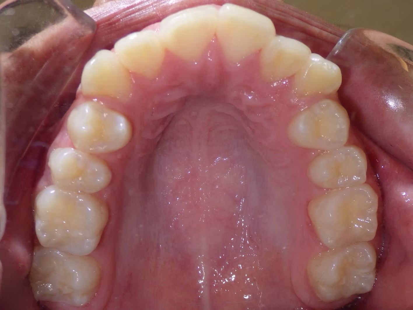
Megyn
Megyn, came to our office about a year before we placed her braces. She was missing a top right premolar and she felt her top jaw was too narrow. About a year later her dad called the office because she had a tooth that needed a root canal and crown and a poor long-term prognosis. She wanted the tooth extracted and asked if we could move the 2nd molar forward (her lower back right tooth). She had the 1st molar extracted and we moved the 2nd molar into the 3rd molars position and the 3rd molar will likely erupt into the 2nd molar position. We saved her from needing an implant or bridge. Look at how we closed upper space where she only has 1 premolar and on the other side were able to rotate the premolars straight. We made her a maxillary fixed (permanent) retainer.
Click on the images below to enlarge them.

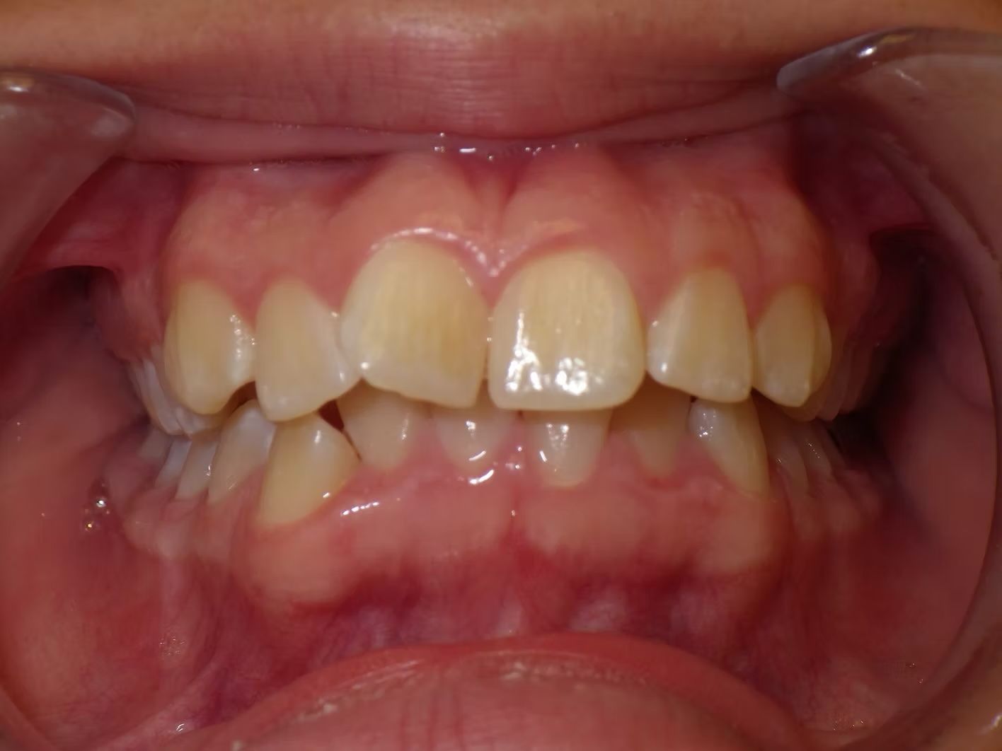
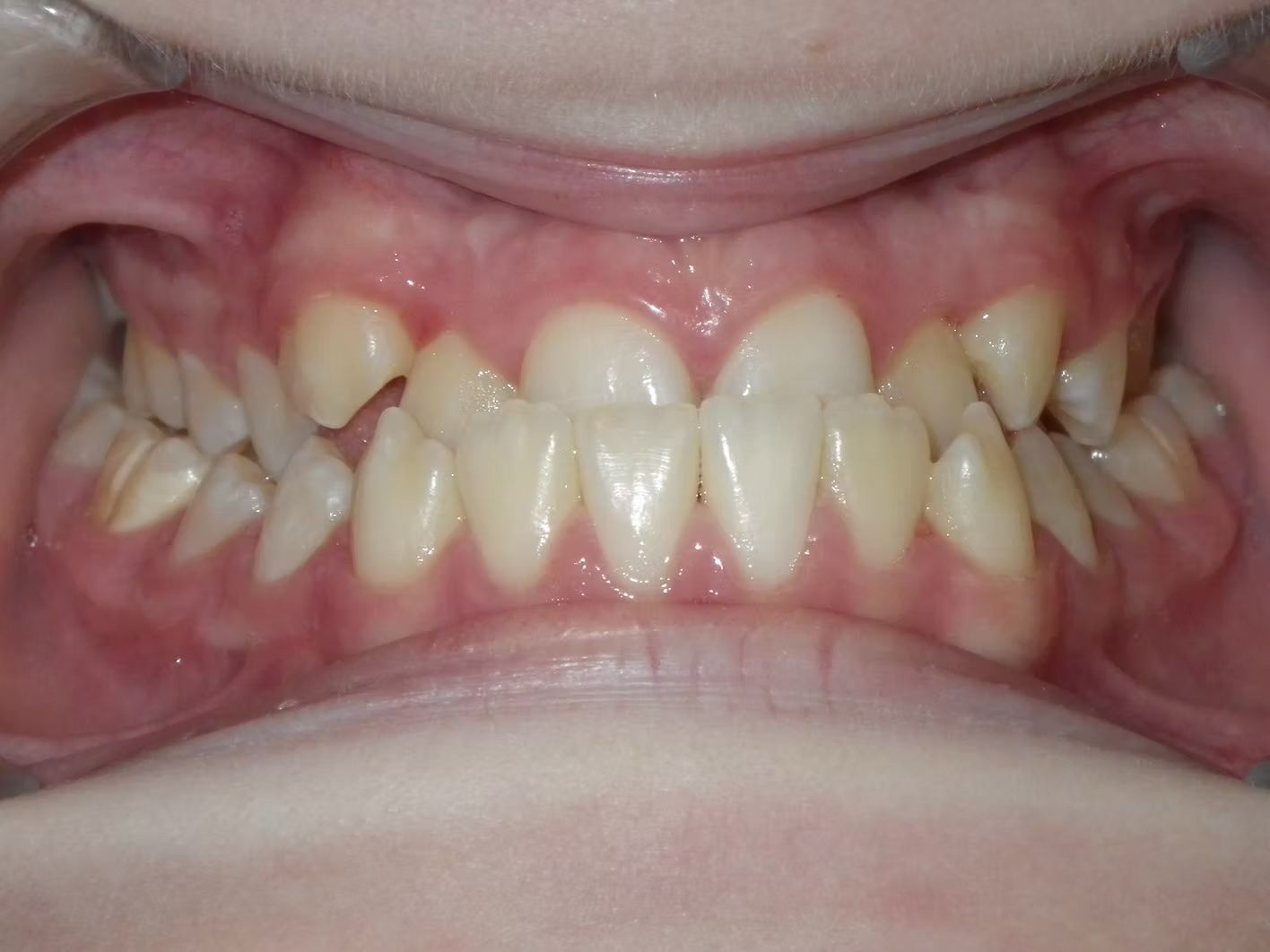
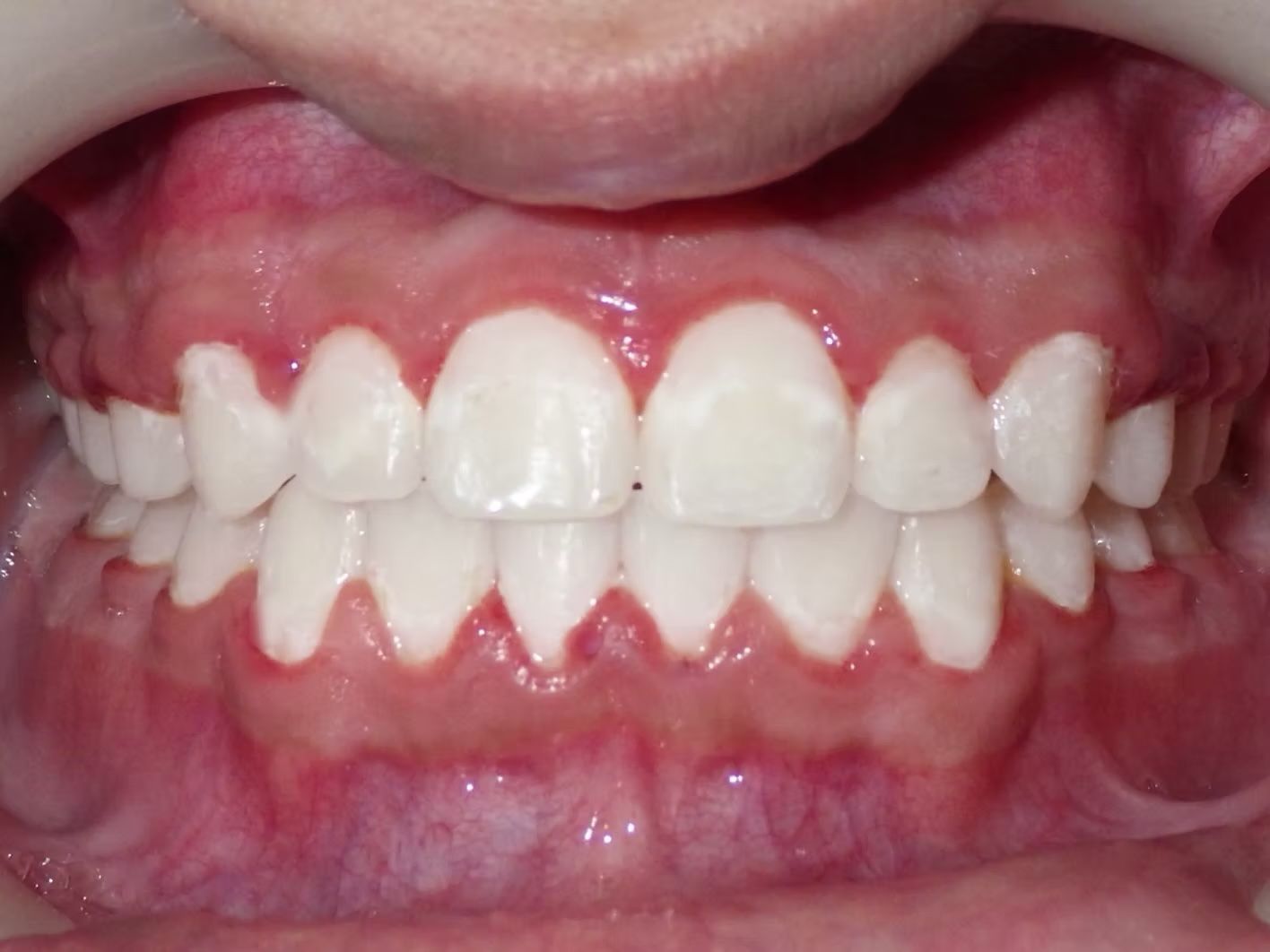
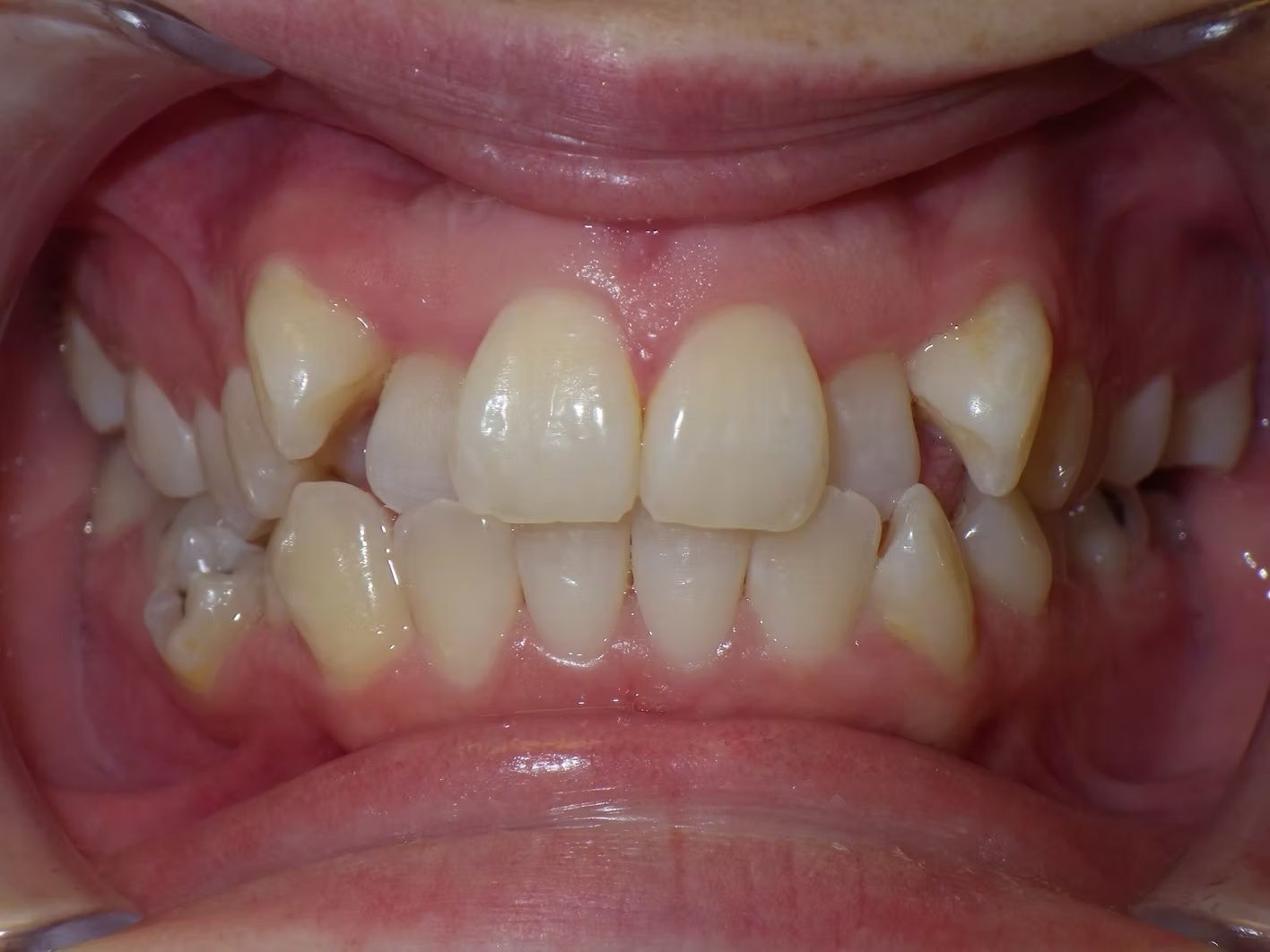
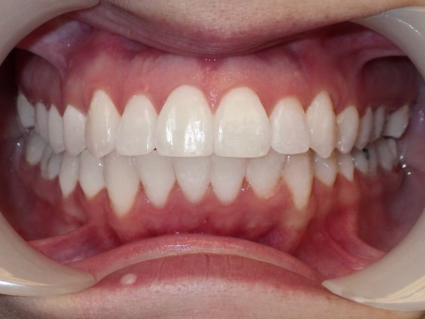
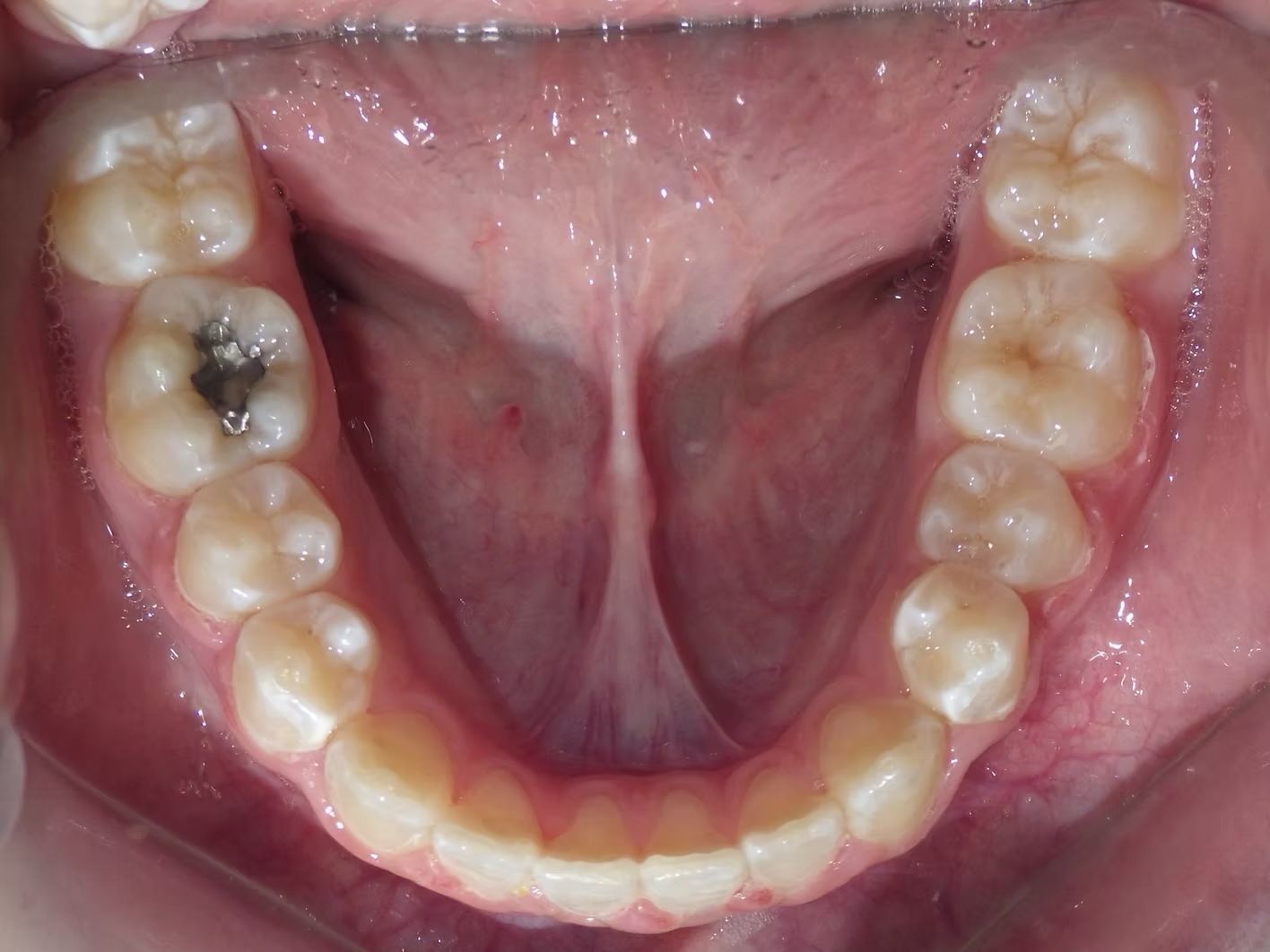
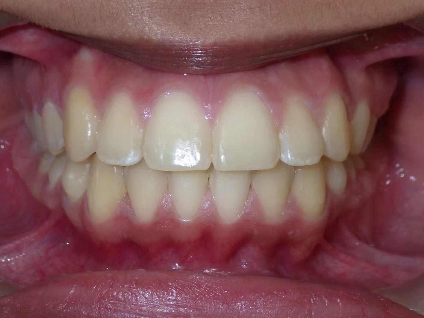
Emily
Emily didn't like how her top teeth were turned in and the lower teeth were crowded. Her bite was slightly off on both sides. Emily just needed upper and lower braces to correct her dental alignment and some rubber bands to correct the bite. She absolutely loves her teeth now!
Click on the images below to enlarge them.

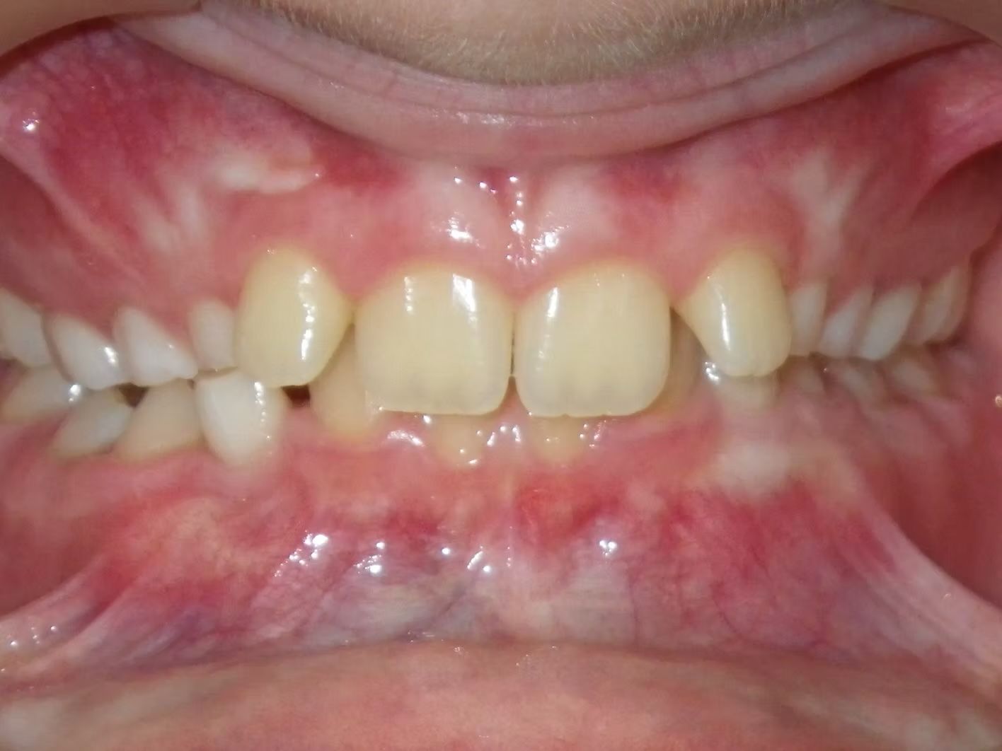
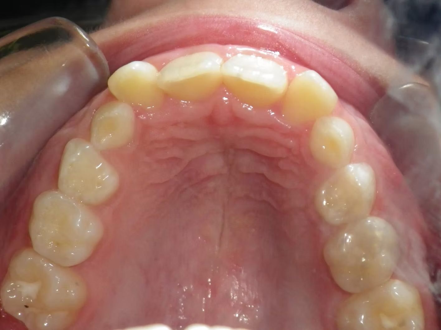
IAN
Ian came to the office because his lower teeth were crowded and he had an anterior cross bite. With traditional braces we resolved the crowding and aligned the teeth without causing flaring of the incisors and giving him a handsome smile. The treatment lasted 18 months and the final photos are at a 2 year follow up when we made him a new clear retainer.
Click on the images below to enlarge them.

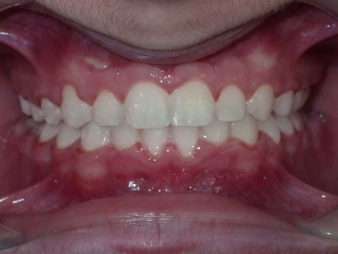
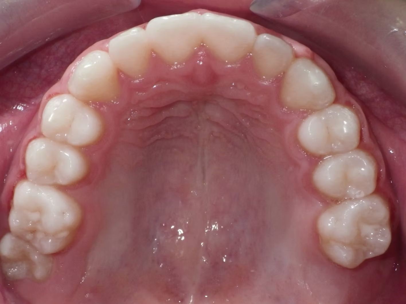
Tammy
Tammy, began treatment with Dr. Bret because she didn't like here smile. One tooth (the left canine) was higher than the other teeth. She had crowded upper and lower teeth and the midlines (top middle and lower middle) didn't line up. Her bite was off, she was missing a lower 1st molar on the left side, and she wanted to correct everything ideally. We removed 2 top teeth (premolars) to allow us to get the midlines centered and to bring the canine into the correct position. We also brought the 2nd molar forward into the 1st molar position and saved her from needing an implant!
Click on the images below to enlarge them.

Imset
Imset came to see Dr. Bret because he felt like the upper and lower teeth were too crowded. The lower canines were in cross-bite with the upper teeth and there was significant crowding in the lower arch. He previously had 2 teeth pulled in the top and at the time none in the bottom. This made the top jaw smaller than the lower and the lower teeth didn't have room to fit inside the top teeth. We had 2 lower teeth extracted, and then aligned the upper and lower teeth to fit excellently together- no more crowding!
Click on the images below to enlarge them.

Fatima
Fatima didn't like her teeth. She was severely crowded in the top and lower dental arches. Her upper midline was off to the left. We extracted 4 teeth and lined up her teeth beautifully, corrected her bite and centered the upper and lower teeth with the face and each other.
Click on the images below to enlarge them.

AUSTIN
Austin didn't like that his upper teeth fit behind his lower teeth. (He had an anterior crossbite). When this happens there are usually 3 ways to correct it. One way is just to move the top teeth forward, another is to take out teeth to help correct the crossbite, and sometimes and thankfully less common is to have jaw surgery to correct a skeletal size discrepancy between the top and bottom jaw. Dr. Bret was able to align Austin's teeth and correct his cross bite without taking out any teeth. Austin was super happy and loves his new smile.
Click on the images below to enlarge them.

ANGELICA
Angelica came to our office because she didn't like the way her upper teeth overlapped her lower teeth. (We call this a deep bite). She had some space in the upper jaw and some crowding in the lower jaw. We were able to align her teeth, close her bite and truly make her want to smile!
Click on the images below to enlarge them.

ST. VINCENT
St. Vincent began treatment because his lower jaw was positioned back compared the top jaw and he had a large overjet. He was in the mixed dentition (he had baby teeth and adult teeth present). We made him a Herbst appliance that brought the lower jaw forward as the rest of the adult teeth erupted. We then put on the braces and aligned the teeth. He was super happy with the result.
Click on the images below to enlarge them.

SEIFE
Seife began treatment because his front teeth wouldn't touch. In orthodontics, we call this an anterior open bite. He also had a cross bite in the back where the upper teeth fit inside the lower jaw. We fabricated him an upper expander and we widened the upper jaw to correct this crossbite. He loves that he can now bite into food with his front teeth.
Click on the images below to enlarge them.

JESSIE
Jessie didn't like her spaces. She had space in the top and bottom jaws and wanted to close it. Her bite was also off on the left side and her midline was not centered. In the end, we fixed it all - doesn't she look great!
Click on the images below to enlarge them.

MARIBEL
Maribel began treatment with Dr. Bret because she couldn't chew food with her front teeth. She had an anterior open bite with severe crowding of her upper and lower teeth. She was treated with the removal of 4 premolar teeth - 2 in the top and two lower premolars and we were able to get her front teeth to line up beautifully- she can't stop smiling.
Click on the images below to enlarge them.

LUCERO
Lucero thought her teeth were too crowded. She had consultations at multiple orthodontists and they all told her she needed to take out 4 teeth. While I too think with severe crowding in most cases extractions are the best option, with her profile, I believed that extractions would prematurely age her face. We decided not to extract and ended up with a magnificent smile.
Click on the images below to enlarge them.

STEPHANIE
Stephanie didn't like the space between the upper teeth. Dr Freedman was able to close the space and complete her treatment in less than 20 months and her teeth remain beautiful in retention. She has a fixed (permanent) retainer behind her front teeth.
Click on the images below to enlarge them.

BRIANNA
Brianna's lower left 1st premolar was completely in a brodie bite (outside the normal arch) and her top and bottom teeth were very crowded. Dr. Freedman corrected her bite and crowding without removing any teeth.
Click on the images below to enlarge them.
Ready for a Beautiful, Village Smile?
Click below to schedule your FREE consultation.





































































































